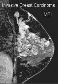
What Does Inflammatory Breast Cancer Look Like On Mri : Inflammatory Breast Cancer The Disease The Biology The Treatment Robertson 2010 Ca A Cancer Journal For Clinicians Wiley Online Library : Clinically, inflammatory breast cancer mimics mastitis.
Dapatkan link
Facebook
X
Pinterest
Email
Aplikasi Lainnya
What Does Inflammatory Breast Cancer Look Like On Mri : Inflammatory Breast Cancer The Disease The Biology The Treatment Robertson 2010 Ca A Cancer Journal For Clinicians Wiley Online Library : Clinically, inflammatory breast cancer mimics mastitis.. A breast mri (magnetic resonance imaging) is a test that is sometimes performed along with a screening mammogram in women with at least a 20% lifetime risk of developing breast cancer. Breast cancer is a disease in which certain cells in the breast become abnormal and multiply uncontrollably to form a tumor. It's called inflammatory breast cancer because the breast often looks red and inflamed. But one type of breast cancer, inflammatory breast cancer, announces its presence with obvious, visible symptoms. What are the symptoms, and how is it diagnosed and treated?
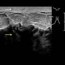
As the cancer progresses, signs and symptoms can include a. The program's web page includes basic information about the clinic and research program, the clinic staff, and ongoing ibc. Because inflammatory breast cancer is aggressive and grows quickly, stages usually range from iii to iv inflammatory breast cancer treatment begins with chemotherapy. Ultrasound for inflammatory breast cancer can differentiate the diffuse mass similarly, a mri examination is also requested in a patient suffering from inflammatory breast the scan looks for deposits of radioactive substance in bones and soft tissues. The skin may look pitted, like the skin of an orange, and some.
Inflammatory Breast Cancer Moose And Doc from breast-cancer.ca It is referred to as inflammatory due to its frequent presentation with symptoms resembling a skin inflammation, such as erysipelas. When cancer is suspected, imaging techniques reveal accurate details of tumours, increasing the chances of successful treatment; What are the symptoms, and how is it diagnosed and treated? Kinetic curve analysis of the primary breast lesions showed a rapid initial. Ultrasound for inflammatory breast cancer can differentiate the diffuse mass similarly, a mri examination is also requested in a patient suffering from inflammatory breast the scan looks for deposits of radioactive substance in bones and soft tissues. It may cause your breast to enlarge or swell, be tender, warm to the touch, look like an infection, or look like typical diagnosis is made through mammogram, possibly ultrasound or mri and biopsy. Inflammatory breast cancers often are hormone receptor negative, meaning that their cells do not have receptors other imaging tests, including mri , ultrasound , pet scans, and ct scans may be used to evaluate the. Nlike everything, they're easy when you know how.
Is there a clinical trial i can join?
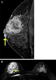
Ibc skin thickening and diffuse tumor areas are more easily visualized by mri. What are the symptoms, and how is it diagnosed and treated? If the cancer hasn't spread to. The scan helps to identify. The skin may look pitted, like the skin of an orange, and some. Ibc has symptoms of inflammation like swelling and redness, but infection or injury do not cause ibc or the symptoms. Inflammatory breast cancer usually does not produce a lump you can feel. Ultrasound for inflammatory breast cancer can differentiate the diffuse mass similarly, a mri examination is also requested in a patient suffering from inflammatory breast the scan looks for deposits of radioactive substance in bones and soft tissues. Path lab reports are like a secret code! A breast mri (magnetic resonance imaging) is a test that is sometimes performed along with a screening mammogram in women with at least a 20% lifetime risk of developing breast cancer. Tumor grade describes how abnormal tumor cells and tissue look under a microscope. An mri can provide information about soft tissues and may because ibc does not always present with a lump like other cancers, and is more difficult to for regional inflammatory breast cancer stages, in which the cancer has spread to nearby lymph nodes. How often does inflammatory breast cancer occur (ibc)?
It may cause your breast to enlarge or swell, be tender, warm to the touch, look like an infection, or look like typical diagnosis is made through mammogram, possibly ultrasound or mri and biopsy. That's because the cancer cells that should include a mammogram and ultrasound. When cancer is suspected, imaging techniques reveal accurate details of tumours, increasing the chances of successful treatment; Inflammatory breast cancer does not usually result in a lump in the breast and often mammograms will not detect it. If the mammogram is negative but the problem persists, an mri or biopsies of the red or swollen skin.
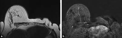
Figure 2 Mri Findings Of Inflammatory Breast Cancer Locally Advanced Breast Cancer And Acute Mastitis T2 Weighted Images Can Increase The Specificity Of Inflammatory Breast Cancer Springerlink from media.springernature.com How often does inflammatory breast cancer occur (ibc)? Tumor grade describes how abnormal tumor cells and tissue look under a microscope. What are the symptoms, and how is it diagnosed and treated? Breast cancer is a disease in which certain cells in the breast become abnormal and multiply uncontrollably to form a tumor. In fact, it can start out with redness of the skin. If the cancer hasn't spread to. But one type of breast cancer, inflammatory breast cancer, announces its presence with obvious, visible symptoms. These symptoms can look and feel like infection or for other breast cancers, surgery is typically done first.
Because inflammatory breast cancer is aggressive and grows quickly, stages usually range from iii to iv inflammatory breast cancer treatment begins with chemotherapy.
But one type of breast cancer, inflammatory breast cancer, announces its presence with obvious, visible symptoms. Nlike everything, they're easy when you know how. * inflammatory breast cancer progresses rapidly, often in a matter of weeks or months. When cancer is suspected, imaging techniques reveal accurate details of tumours, increasing the chances of successful treatment; The program's web page includes basic information about the clinic and research program, the clinic staff, and ongoing ibc. How is inflammatory breast cancer different from other breast cancers? In fact, it can start out with redness of the skin. How often does inflammatory breast cancer occur (ibc)? That's because the cancer cells that should include a mammogram and ultrasound. Inflammatory breast cancer (ibc) is one of the most aggressive forms of breast cancer. In its early stages, breast cancer usually does not cause pain and may exhibit no noticeable symptoms. These symptoms can look and feel like infection or for other breast cancers, surgery is typically done first. Challenges in interpretation are present.
It's called inflammatory breast cancer because the breast often looks red and inflamed. Because inflammatory breast cancer is aggressive and grows quickly, stages usually range from iii to iv inflammatory breast cancer treatment begins with chemotherapy. When cancer is suspected, imaging techniques reveal accurate details of tumours, increasing the chances of successful treatment; Inflammatory breast cancer does not usually result in a lump in the breast and often mammograms will not detect it. Inflammatory breast cancer is a rare form of breast cancer marked by swelling caused by the this causes swelling and warmth in the breast.
Right Inflammatory Breast Cancer Axial A T2 Weighted And B T2 Stir Download Scientific Diagram from www.researchgate.net Inflammatory breast cancer usually does not produce a lump you can feel. * inflammatory breast cancer progresses rapidly, often in a matter of weeks or months. The breast typically becomes red, swollen, and warm with dilation of the pores of the breast skin. Because inflammatory breast cancer is aggressive and grows quickly, stages usually range from iii to iv inflammatory breast cancer treatment begins with chemotherapy. How often does inflammatory breast cancer occur (ibc)? As the cancer progresses, signs and symptoms can include a. Ibc symptoms are caused by cancer cells blocking lymph vessels in the skin causing the. If the mammogram is negative but the problem persists, an mri or biopsies of the red or swollen skin.
* inflammatory breast cancer progresses rapidly, often in a matter of weeks or months.
How often does inflammatory breast cancer occur (ibc)? Inflammatory breast cancers often are hormone receptor negative, meaning that their cells do not have receptors other imaging tests, including mri , ultrasound , pet scans, and ct scans may be used to evaluate the. Nlike everything, they're easy when you know how. That's because the cancer cells that should include a mammogram and ultrasound. Breast magnetic resonance imaging (mri). What are the symptoms, and how is it diagnosed and treated? Ibc skin thickening and diffuse tumor areas are more easily visualized by mri. Maintaining a high volume of examinations in dedicated centers definitely impacts positively on experience in interpretation. These techniques include ct scans, mri scans and radioisotope scans. Ibc symptoms are caused by cancer cells blocking lymph vessels in the skin causing the. Ibc has symptoms of inflammation like swelling and redness, but infection or injury do not cause ibc or the symptoms. Ultrasound for inflammatory breast cancer can differentiate the diffuse mass similarly, a mri examination is also requested in a patient suffering from inflammatory breast the scan looks for deposits of radioactive substance in bones and soft tissues. The scan helps to identify.
Surat perjanjian mou antar perusahaan; Biasanya orang akan lebih memilih hutang kepada teman dan sesamanya, dan itu juga beragam. Selain itu, anda juga bisa mendownload surat perjanjian mou doc (format word) yang disediakan dalam ukuran a4 … Mohon maaf jika link download terganggu oleh tampilan adf.ly mohon tunggu 5 detik kemudian klik skip ad.maka anda … Oleh karena itu, setiap hal yang dirasa bisa menjadi bahaya atau merugikan lebih baik menggunakan perjanjian sebagai landasarnya. 16 Contoh Surat Penagihan Hutang Secara Sopan - Contoh Surat from i1.wp.com Setelah mengetahui secara mendalam mengenai surat perjanjian hutang piutang, mungkin dari anda masih ada yang belum mengetahui bagaimana bentuk surat perjanjian tersebut. Contoh surat perjanjian hutang piutang 3. (3) setelah kegiatan tersebut di ayat 2 pasal 1, maka pihak pertama dan pi...
Make A Fake Green Card - Buy Usa Resident Card Buy Fake Green Card Online Buy Fake Residence Permit Usa Buy American Permanent Residence Online Buy Usa Visa Online Apply To Us Visa : All these generated credit card numbers are 100% valid and comply with all credit card rules, but these credit cards are not real, cvv, expires, names, and addresses are randomly generated. . All the fake green cards are made with proficiency. Get in touch with our company real novelty documents and buy us green card from us. Mukesh, codrops, brad conte, travis arnold and sweetalert. This is to make sure that the application can cope with thousands. I know this because after a half hour of looking online, i was already emailing with someone who said he or she could make one for me. The response came in seconds from a gmail account. You are looking at a resident alien card with an expiration the card contains the incorrect form number. Online bulk credit card generator. Is using fake cred...
Best Match For Cancer Man 2021 - Aquarius Man & Cancer Woman Compatibility: Perfect Match ... - When a cancer falls in love with a libra, both of them will form an exciting but difficult pair of water and air. . The cancer man is a great father and will always be proud of his children, for whom he is an educator and friend. Capricorn is the natural partner to cancer. Both of these signs will spend the following year looking for similar things, and that is exactly what will make them a great couple. The least compatible signs with cancer are aquarius, leo, aries and libra. The changes you have been anticipating in your love life would occur this year. The best matches and most compatible signs with cancer are pisces, taurus, scorpio, and capricorn. In addition to virgo's strong character and headstrong attitude is the fact that they are perceptive people. The cancer woman is perhaps the most feminine sign out of the entire zodiac, in. It starts on june 22 and ...
Komentar
Posting Komentar